被忽略的隱形傳播鏈 罕見部位「右下肺葉肺結核」
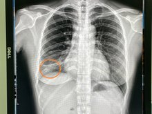
【新唐人亞太台 2022 年 02 月 17 日訊】近日台灣的中共肺炎Omicron呈現急速擴大流行的趨勢,引發民眾的高度關注,然而人們卻不知,仍有另一種傳染性疾病依然悄悄在進行散播。烏日林新醫院胸腔內科主治醫師許人文近日在門診發現一名32歲女作業員,已經咳嗽兩三個月不見好轉,卻遲遲未就醫,來門診進行胸部X光檢查,發現右下肺葉有一小片扁平塌陷和浸潤的病灶,醫師先投以抗生素治療,同時幫她收集痰液化驗結核菌,竟然發現痰液中佈滿了密密麻麻的肺結核菌,屬於罕見的「右下肺葉」開放性肺結核病人,醫院已進行法定傳染病通報。
許人文醫師指出,肺結核的傳播方式和中共肺炎非常相似,都是利用飛沫和空氣傳染,平均一個肺結核病人,大約可以傳播給十個其他健康的人,其傳染率不亞於中共肺炎大魔王Omicron。只是感染肺結核的病人,一開始症狀並不明顯,同時病人的症狀也不一,有些人會咳嗽、發燒、胸痛,有些只是潛伏性的感染,單從外表完全看不出來的無症狀感染者,這也是肺結核很難清零的原因,且容易造成隱形的傳播鏈。
根據國外文獻統計,下肺葉肺結核的病人,大多以40歲以下的年輕女性為主,肺結核的X光表現,大部分都是在兩側的上肺葉,然而在「下肺葉」的個案非常少見,常常只有零星個案被報導,也因此常常會被醫療人員所忽略,再加上肺結核具有「非立即性傳染、不易診斷」之特性,醫師初步需要先排除肺炎、肺膿瘍、或是肺癌,再進一步考慮是否為肺結核的可能性!
目前女作業員在醫師開立抗結核藥物治療下,咳嗽症狀已改善許多,傳染力大幅降低,肺部也逐漸康復中,預計治療六個月至九個月即可完全痊癒。醫師在此呼籲,若是有咳嗽超過兩個禮拜,請儘速到胸腔內科門診照X光或進一步檢查,以免延誤病情。
(新唐人亞太電視 趙揚 整理報導/責任編輯:姚翰宇)
相關新聞
-
罕見4公尺巨大烏賊 驚現日本碼頭
2019-02-17 10:03:05一般烏賊被漁夫看到會被抓起來吃掉,去年聖誕節前夕(12月24日)一隻罕見的巨大烏賊在日本碼頭被發現,牠的命運將如何?會被饕客作成耶誕大餐嗎?
-
北部大學爆肺結核感染 8人染病
2011-10-22 22:27:11北部某一所大學爆發肺結核群聚感染,從去年11月到目前為止,共有8人感染肺結核,其中一名還是學生的家屬,消息曝光,校園人心惶惶,不過北市衛生局表示疫情都在掌控中,學校也將在下週進行擴大接觸者篩檢,呼籲學生不必擔心。
-
不死人不放假?湖南名校肺結核爆發
2017-11-20 21:15:49據大陸媒體報導,在湖南桃江縣第四中學高三的一個班上,近期就已經確認有50多人染上肺結核,並且在源源不斷的向外班同學以及親友們傳染,病情最嚴重的學生,醫院甚至下達了病危通知。但該校還在繼續正常上課,校長甚至還稱「不死人,不放假」。
-
咳不停?肺結核患者罹肺癌風險增3.3倍
2017-03-22 21:00:41在台灣,肺結核位居傳染病之首,根據台灣健保資料庫發現,肺結核患者 罹患肺癌的風險,是一般人的3.3倍,但肺結核初期難被發現,醫師提醒,如果久咳不癒,應該儘早到醫院做檢查。
-
頭痛、精神失常 小心!恐罹結核性腦膜炎
2018-11-23 22:06:53歡迎回來,再來看到醫療訊息。結核菌竟跑到腦部作祟!台中一名油漆工人,去年開始聞到油漆味就想吐,不但嚴重頭痛且神智異常,經過醫師進行腰椎穿刺和治療,才讓這位油漆工人,在藥物的治療下,順利康復。
-
終結肺結核 疾管署擴大免費篩檢治療
2017-03-23 21:03:22針對肺結核防治,疾管署將篩檢服務的年齡層擴大至全年齡層,如果確認是潛伏性結核感染者,疾管署將提供3個月的免費治療。
-
哈薩克草原神祕的「石球之谷」
2018-09-26 23:17:29在哈薩克曼吉斯套州(Mangistau)的一片乾草原上,分布著許多神秘的球形巨石,其確切成因仍不為人所知。而這個被稱為「石球之谷」的景點也因此一特殊的地理景觀,吸引遊客造訪。
-
本土+56疫情散發 基隆已68例.陳時中宣布類普篩
2022-03-31 08:16:02新聞一開始,先帶您鎖定,台灣本土疫情升溫,今天(30日)新增有56例的本土個案,其中以基隆個案最多,並且疫情也比較複雜,防疫指揮官陳時中,下午親自到基隆視察,指示基隆進行「類普篩」來防堵疫情。而目前台灣已經出現23條病毒序列不同的Omicron傳播鏈。此外,現在有19條傳播鏈不明來源,需要追查疫調。
-
反菸音樂會 長榮交響樂團演奏東西名曲
2016-10-17 21:50:13南投中興新村舉辦反菸活動,還特別請來長榮交響樂團現場演奏,讓民眾可以在欣賞優美的旋律中,一同參與身心保健的公益活動。
-
台本土+7增不明傳播鏈 陳時中:1個月後談解封有可能
2022-03-11 21:36:50台灣今天(11日)本土新增7例,雙北則再爆出一件不明感染源的群聚案,相關疫調仍在進行。衛福部長陳時中上午受訪表示,全球多個區域疫情下降,在沒有出現新變種病毒情況下,一個月後台灣有可能討論解封。
-
3月起防疫放寬運動拍照免口罩 機組員檢疫再縮
2022-03-01 21:38:40來看到,台灣本土疫情連日來都新增個位數,指揮中心從3月(1日)開始再放寬防疫措施,包括運動、拍照都能脫口罩,雙鐵客運飲食同時鬆綁。同時指揮中心也在今天宣布,打了追加劑的機組員,返台檢疫期可以再縮短,從「5+9」變成「5+5」。
-
本土+1!印籍機師妻子也確診.增3機師抗體陽性
2021-04-27 21:22:52新聞一開始,帶您關心台灣疫情,多名華航機師染疫案件,今天又新增了一名本土個案,是印尼籍華航機師的妻子,目前這名機師一家四口,已經有三人染疫。此外,華航擴大採檢,有三人血清抗體驗出陽性。研判是感染一段時間後,已經痊癒。個案間的傳播鏈,要等相關檢驗結果全部出爐,才能研判。
-
X-47B隱形無人戰機幾週後測試空中加油
2015-04-08 15:37:54美國海軍X-47B隱形無人艦載戰鬥機繼續測試性能,幾週後將進行空中加油試驗,目前該無人機已經可以和載人飛機編隊飛行,自由起降航空母艦甲板。
-
本土+46 Omicron入侵.台累計10條不同傳播鏈
2022-01-26 21:20:22新聞首先來關心,今天(26日)台灣新增46例的本土個案。高雄港及桃園兩地個案,就佔一半以上,其餘多是感染源不明確診個案的接觸者。此外,指揮中心指出,目前台灣已經有10條不同的Omicron傳播鏈,台北房仲、宜蘭礁溪飯店,各是獨立的Omicron傳播鏈,與目前桃園、高雄的病毒定序也都不一樣。
-
本土疫情+6 桃園一家三口確診.感染源不明
2022-02-26 20:40:33中央流行疫情指揮中心今(26)天公布新增6例本土及63例境外移入。本土疫情包含新北涮涮鍋店員工、宜蘭火鍋店員工,另外還有一名台中驗船師,與桃園一家三口採檢確診。
-
桃機確診連環爆 社區警戒!傳播鏈恐不只一條
2022-01-08 21:21:11好,桃機群聚感染,目前已經有14名相關人員染疫,另外還有2位機場人員快篩陽性,前進指揮所指揮官王必勝初步判定,桃機的確診案件,恐怕至少有三條傳播鏈,分別是清潔人員、防疫計程車司機,還有保全公司,要擴大採檢,希望把隱藏的確診者找出來。下午桃園市也發送3000多封細胞簡訊,提醒和歌友會確診者有足跡重疊的人,要記得採檢。
-
自明年元旦 接種卡介苗改為出生後5個月起
2015-11-17 18:23:34衛福部疾管署今天宣布,自明年元旦起,新生兒適合接種卡介苗接種年齡從出生的24小時,調整為出生滿5個月,建議接種時間為出生後的5至8個月。
-
北京爆群聚疫情 上海傳將異地隔離3萬人
2022-04-05 22:30:37上海疫情大爆發,中共調集15個省份的3萬醫務人員前往支援,進行2千6百萬市民的大規模核酸檢測,測出陽性的人員傳出會被異地隔離,網上文件顯示,浙江還下令轄下6市為上海人建隔離點,要容納3萬人。而就在上海疫情延燒之際,北京的病例也在增長,官方說,北京的疫情帶有聚集性,涉及3條傳播鏈,形勢嚴峻複雜。
-
【今日點擊】中共中央紀委罕見「炮轟」中宣部(上) 今日點擊(2554-1)
2016-06-12 00:49:53中共中央紀委罕見「炮轟」中宣部。 大家好!歡迎大家來到今日點擊節目!我是石濤。
-
桃園1確診感染源不明 新竹縣3校停課篩檢全陰性
2022-01-20 13:23:14桃園市昨天(19日)新增8例確診個案,其中1例在大湳市場工作,感染源不明。桃園市長鄭文燦今天(20日)表示,大湳市場已休市3天,為避免其他確診個案形成,擴大採檢找出潛在病例。新竹縣今天(20日)也公布3校篩檢結果,5571人全數陰性。










